気分の波に隠された病気…うつ病患者の60%が知らない“脳の正体”とは

介護

認知症の関連記事

認知症たんぱく質と

中高年うつ病の関係とは 

早期治療に期待

2025/06/11 05:00

日経速報ニュース

認知症たんぱく質と中高年うつ病の関係とは 早期治療に期待 - 日本経済新聞
中高年で発症するうつ病などの気分障害に、認知症の原因とされる異常なたんぱく質が関係している可能性があると量子科学技術研究開発機構(QST)などが報告した。気分障害とはどんな病気で、異常なたんぱく質とは何か。早期の診断や治療につながるのか。3...

【この記事の内容】

うつ病だと思ったら手遅れに…40代以上が知るべき認知症の前兆とは?

はじめに

最近の研究で注目されているのが、中高年に見られる気分障害やうつ病が、実は認知症の原因とされる異常なたんぱく質と関係しているかもしれないという新たな視点です。

これは、介護者にとっても、家族や地域にとっても見逃せない重要な気づきです。

この記事では、このテーマについて以下の3つの観点からわかりやすく解説します。

・中高年の気分障害がなぜ増えているのか

・認知症を引き起こす異常なたんぱく質とは何か

・これらの知見が早期治療にどう役立つのか

中高年に増える気分障害の背景

増加する中高年のうつ病

ここ数年、うつ病や双極性障害(いわゆるそううつ病)などの気分障害が中高年層で増え続けています。

背景として考えられる要因

・退職や子どもの独立など人生の節目による孤独感

・体力や記憶力の低下による自信喪失

・介護や経済的負担といった現実的な不安

・社会的つながりの減少による役割喪失感

介護の現場で見えてくる兆候

介護現場では、「最近なんとなく元気がない」といった曖昧な兆候が深刻な前触れである場合が増えています。

たとえば、表情が乏しくなったり、会話を避けるようになったりする利用者に対して、老化ではなく気分障害やその奥にある認知症の兆しとして注意を払う必要があります。

認知症を引き起こす「異常なたんぱく質」とはアミロイドβとタウたんぱく質の影響

アルツハイマー型認知症の多くは、次の2つのたんぱく質が脳にたまることで発症すると考えられています。

アミロイドβ:脳の神経細胞の外にたまり、情報の伝達を妨げる

タウ:神経細胞内で異常な構造を取り、細胞の死を引き起こす

この2つは、症状が出る10年以上前から少しずつ蓄積されているとされ、早期発見がきわめて重要です。

気分障害との関連性

最近の研究では、中高年の気分障害患者の脳に、これらの異常なたんぱく質が既に蓄積している例があると報告されています。

つまり、うつ病が単なる心の病ではなく、認知症の「前段階」かもしれないという新しい見方が出てきたのです。

治療と介護の最前線で起きている変化

画像診断技術が切り開く新しい医療

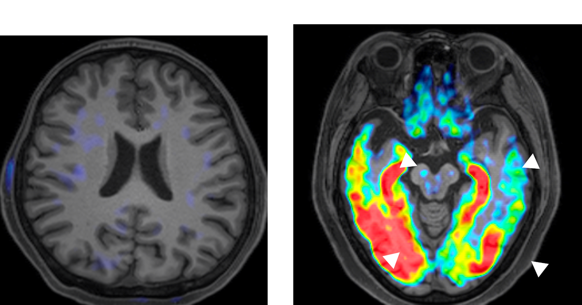
量子科学技術研究開発機構(QST)が開発した画像診断技術では、アミロイドβの蓄積を鮮明に可視化できます。

これにより、以下のような対応が可能になります。

・気分障害の背後にある認知症リスクの把握

・たんぱく質を標的とした薬による早期治療

・症状が出る前に始める「予防的な介入」への期待

介護者・家族・地域が果たす役割

介護者の視点

日々の小さな変化を見逃さない観察力と、柔軟なケアプランの見直しが不可欠です。

医師や看護師との連携も重要です。

高齢者本人の視点

年のせい」と諦めず、感情の変化や物忘れに気づいたら早めに相談・受診することが大切です。

家族の視点

本人の気分の変化を「甘え」「性格」と決めつけず、共感を持って見守ること。

そして、必要なときには医療や福祉の専門家に繋ぐ役割を担います。

地域の視点

地域包括支援センターとの連携や、高齢者同士が交流できる場の創出が、孤立の防止や早期発見につながります。

現場から学ぶ実例と対処の工夫

介護の現場では、うつ状態が長く続いた後に軽度認知障害(MCI)と診断されるケースが目立ちます。

気分障害が、脳の変化の初期サインである可能性があるということです。

具体的なサインとしては以下のようなものがあります。

・薬の管理ができなくなる

・会話が成り立っているようで、内容を覚えていない

・同じことを繰り返し尋ねるが、自覚がない

こうした変化にいち早く気づき、医療と福祉が連携して対応することで、本人の生活の質を保つことができます。

まとめ

新しい視点からの提言

結論

中高年のうつ病や気分障害が、認知症の始まりかもしれないという視点は、介護や医療の現場にとって極めて重要なヒントになります。

その理由

・認知症の兆候を早くつかめる可能性がある

・気分障害と認知症を一体でとらえることで、治療と予防の質が上がる

・地域全体で支える体制づくりの契機となる今後の介護現場に求められること

・「うつは心の病」から「脳の健康の問題」へと意識を転換する

・医療と福祉、そして家族の多職種連携を強化する

・科学的知見を基に、予防と介入のバランスを取ったケアを提供する

高齢者介護の最前線にいる私たちは、利用者の「いつもと違う」に敏感であることが求められます。

新しい医学的知見を知識として持ち、ケアの質に反映させる姿勢が、今後ますます重要になるでしょう。

コメント

error: Content is protected !!
タイトルとURLをコピーしました